[受付時間:8:30-12:30 14:00-17:30]
\ 24時間いつでも予約・相談できます /

当院では、日本口腔外科学会の専門医資格を持つ院長が診察します。当院での処置が可能か、あるいは大学病院などの高度医療機関が適しているかを的確に判断します。相談だけでも構いません。まずは今のお口の状態を一緒に確認しましょう。
01

親知らずの抜歯は、見た目だけでは難しさが分からないことがあります。神経との距離や歯の向き、骨の状態を確認し、安全に進められるかを見極めます。院内で対応できる場合はそのまま治療へ進みます。より高度な管理が必要なときは、総合病院や大学病院での治療について丁寧に説明します。
02

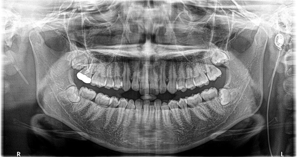
歯ぐきや骨の中に埋まっている親知らず(埋伏歯)や、横向きに生えている歯も、検査のうえで院内対応が可能なケースがあります。歯ぐきを開き、必要に応じて歯を分けて取り出します。処置は局所麻酔で行います。
03

総合病院や大学病院では、外科の診療が平日のみの場合があります。当院では土曜日も総合病院・大学病院レベルの難症例に対応しています。急な痛みや腫れで不安なときも、口腔外科専門医の院長に無理せずご相談ください。
親知らずは、必ず抜かなければならない歯ではありません。まっすぐ生えていて清掃ができ、炎症がなければ経過を見ることもあります。
一方で、次のような状態では抜歯を検討し、必要かどうかを分かりやすく説明します。

何度も腫れや痛みを繰り返す

横向きや斜めに生えている

手前の歯に悪影響がある

歯ぐきの奥に炎症がある
歯ぐきや骨の中に埋まっている(埋伏歯)場合は、歯ぐきを開き、必要に応じて歯を分けて取り出します。
処置時間は状態によって異なりますが、多くは数十分ほどです。
※神経に近い場合や全身管理が必要なときは、総合病院や大学病院での治療をご提案します。
処置後は、腫れ・痛み・軽い出血が数日みられることがあります。一般的に2〜3日で腫れのピークを迎え、1週間ほどで落ち着くことが多いとされています。気になる症状があれば、遠慮なくご連絡ください。

親知らずの状態によっては、手前の歯に負担がかかることがあります。その結果、他の歯を失った際には、インプラントなどを考慮します。
また、矯正治療を検討している場合は、親知らずの位置が治療計画に影響することがあります。
当院では、口腔外科だけでなく、矯正やインプラントについても相談できます。
case1

口を開けると音がする、顎が痛い、開きにくいといった症状は、顎関節や筋肉に負担がかかっている可能性があります。まずは保存的な治療を行い、状態に応じて対応を考えます。
case2

2週間以上治らない口内炎やできものがある場合は、検査が必要になることがあります。
case3

転倒や事故で歯をぶつけた場合、見た目に問題がなくても顎に影響が出ていることがあります。早めの受診をご検討ください。
当院は、下記のキャリアを持つ歯科医師の院長が口腔外科診療を担当します。

外科処置は不安を感じやすい治療です。そのため、事前の説明と安全への配慮を大切にしています。糖尿病や心臓病などの持病がある方、血液をサラサラにする薬を服用中の方もご相談ください。必要に応じて主治医と連携します。当院は土岐内科クリニックに隣接しており、全身状態にも配慮した診療体制を整えています。
お口の中や顎、顔まわりの外科的な処置を行う分野です。親知らずの抜歯、顎の痛み、できもの、外傷などを扱います。
当院では、日本口腔外科学会専門医が診察を担当し、院内で対応可能かどうかを判断します。
必要に応じて総合病院や大学病院をご案内します。
必ずしも抜く必要はありません。まっすぐ生えていて、炎症がなく、きちんと清掃できていれば経過を見ることもあります。ただし、何度も腫れる、横向きに生えている、手前の歯に影響している場合は抜歯を検討します。
状態を確認したうえで、分かりやすく説明します。
歯ぐきや骨の中に埋まっている親知らず(埋伏歯)も、検査のうえ院内で対応できる場合があります。
神経に近いケースや全身管理が必要な場合は、総合病院や大学病院をご紹介します。無理に院内で完結させることはありません。
はい、土曜日も口腔外科専門医が診療を担当しています。平日に時間が取れない方や、急な痛みでお困りの方もご相談ください。
処置は局所麻酔で行いますので、治療中の強い痛みはほとんどありません。
術後は腫れや痛みが数日出ることがありますが、通常は1週間ほどで落ち着きます。
不安な点があれば事前にお伝えください。
糖尿病や心臓病などの持病がある方、血液をサラサラにする薬を服用している方もご相談ください。
当院は土岐内科クリニックに隣接しており、必要に応じて連携しながら治療を進めます。安全に配慮したうえで判断します。
処置後は、強いうがいを控える、激しい運動を避ける、処方薬をきちんと服用することが大切です。
詳しい注意点は処置後に説明します。
はい、可能です。歯を失った場合には、インプラントという方法がありますので、お気軽にご相談ください。
矯正治療を検討している方には、親知らずの位置が治療計画に影響することもあります。
口腔外科の視点から、全体を見ながらご説明します。
親知らずの痛みや腫れは、早めに確認することで処置が比較的軽く済む場合があります。
まだ我慢できるかもしれないと迷っている方も、不安を抱えたままにせず、一度ご相談ください。地域の口腔外科専門医として、丁寧に状態を確認します。